子どもの歯列矯正
お母さんお子さんの歯並びにお悩み抱えていませんか?当医院で解決できるかもしれません!!
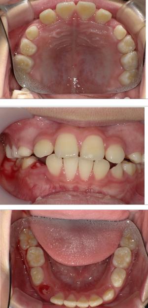
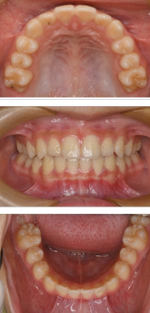
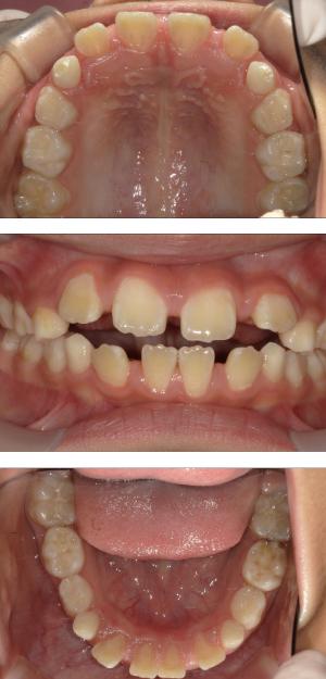
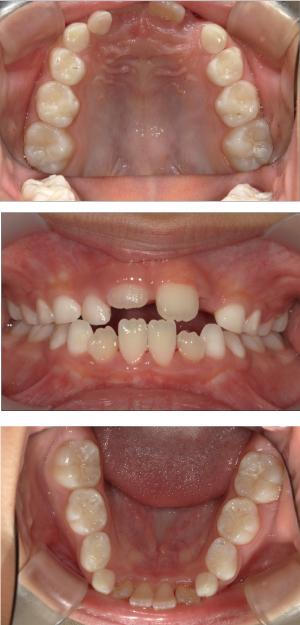
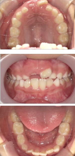
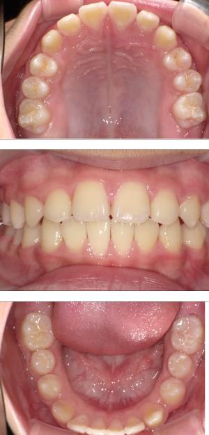
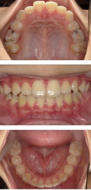
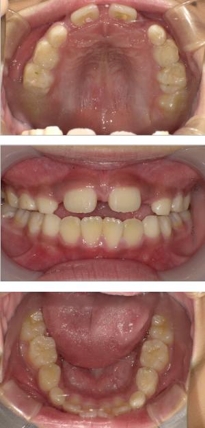
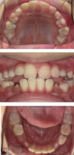
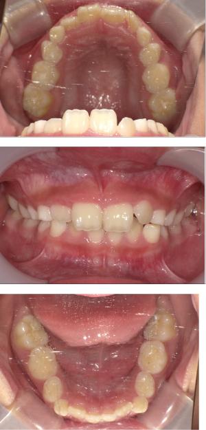
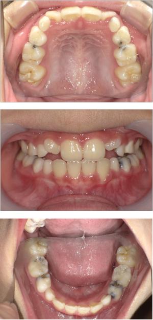
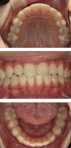
昨今、歯並びに何かしら問題があるお子さんが増えてきています。当医院でも問題なしに成長できているお子さんはたったの4%。
なぜ、歯並びに問題のあるお子さんが増えてきているのでしょうか?
それは現代の子どもたちの生活習慣に影響が隠れています。
なぜ歯並びの悪い子が増えてきているのか?
今の子どもたちは外で遊ぶ機会が減ってきています。お家遊びばかりしてませんか? このような光景をよくお家でみかけませんか?
今の子どもたちは体幹が鍛わることなく、乱れた姿勢で生活をすることが多いです。体幹が安定していないと、お口がぽかんとあく口呼吸を誘発してしまいます。口呼吸を常時行っているとさまざまな健康問題に影響が現れます。
実はこれらは口呼吸が原因で起こる症状といわれています。口呼吸は十分に酸素を取り込むことができないため酸素濃度を低下させ、自律神経の乱れにつながります。また脳内が酸素不足になるとイライラしたり、不安になったり心理状況にも影響が。そして、口呼吸はお口の姿勢(顎の成長)を乱してしまうため、咀嚼、嚥下機能に影響を及ぼしたりと歯並びも乱してしまうのです。
舌の位置と口呼吸の関係
口呼吸の習慣があるお子さんでは、舌の位置が下がりやすい傾向があります。通常、舌は上顎(口蓋)にぴったりと接しているのが理想的ですが、舌が低い位置にあると気道が狭くなり、自然と口呼吸になりやすくなります。
これが慢性化すると、顎の発育にも影響を及ぼします。下顎が後退したり、歯並びが乱れたりして、矯正治療が必要となるケースも。
また、舌の正しい位置が保てないと、飲み込み方や発音にも影響し、口腔機能全体の発達に遅れが生じることもあります。これは近年注目されている「口腔機能発達不全症」とも関係が深く、口呼吸が単なる癖ではなく、体全体の成長バランスに影響を及ぼす要因であることが分かっています。
当院では気道の広さを調べることができます。気道を広げることで鼻呼吸の獲得、睡眠時無呼吸の改善、いびき、歯ぎしりの改善につながります。
当院でできる小児矯正治療
バイオブロック矯正(顎顔面口腔育成治療)
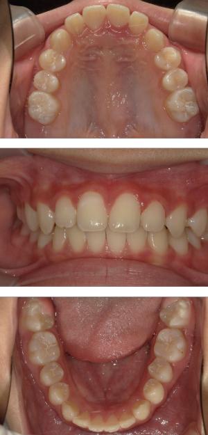
矯正治療は大人になって始めるよりも子どもの頃から始めた方が確実に良い結果をもたらします。成長が盛んな子供の時期に、顎や顔の成長を利用しながら治療ができる大きなメリットがあるからです。当院では、非抜歯矯正を推奨しておりバイオブロック矯正を取り入れています。
バイオブロック矯正の考え方は歯並びが悪くなる原因にアプローチする治療法になります。
舌の位置や口呼吸から乱れてしまった下顎の後退を正し、顎顔面が本来あるべき位置へと誘導させていく治療です。
バイオブロック装置の効果
- お顔立ちが本来の成長へと導かれる(健康的な美しい顔貌)
- 歯並びの改善
- 口呼吸の改善
- いびきの改善
- アレルギーの改善
- 姿勢の改善
治療開始年齢
6.7歳以降~10歳前後まで
(歯の生え変わりスピードによって個人差はございます)
バイオブロック装置のメリット・デメリット
- 歯を動かすのではなく顎の成長を促す
- 非抜歯矯正ができる
- 側方拡大だけでなく前方成長も促す
- お顔の成長が正しく美しく導くことができる
- 呼吸機能の改善(口呼吸⇒鼻呼吸へ)
- 気道の広がりを促し心身共に健康な身体へ
- 舌の正しい位置の改善
- バイオブロック矯正に精通した技工士が院内にいて製作及び修理も行える
- 2週間に1回の通院が必要(口腔内状況に応じて後々月1回になる場合もある)
- 転居がある場合は受け入れ困難(特殊な治療となるため他への紹介が困難)
- 年齢制限がある。第二乳臼歯が抜けてしまうと治療が困難。
- 精密な装置を目的に合わせて作り変えていくため、一般な小児矯正よりも金額が高い
当院は末竹和彦氏による第7期長崎バイオブロックセミナーを受講しバイオブロック治療が可能なクリニックとして認定をいただいております。
詳しくは、下記をご覧ください。